Corrective osteotomy is a surgical procedure aimed at realigning and reshaping bones to restore proper function, improve mobility, and reduce pain. This treatment is commonly used for conditions such as deformities, arthritis, or injuries that have caused improper bone alignment. Below is a comprehensive look at corrective osteotomies, including their purpose, procedure, and recovery.
What is a Corrective Osteotomy?
A corrective osteotomy involves cutting and repositioning a bone to correct alignment or deformities. This procedure is often performed on weight-bearing bones like the femur (thigh bone), tibia (shin bone), or the bones of the foot and hand. It is frequently used in the following cases:- Arthritis: To reduce pressure on damaged joints.
- Bone Deformities: Caused by congenital conditions, growth plate injuries, or trauma.
- Fractures: That have healed improperly, leading to misalignment.
Types of Corrective Osteotomies
- High Tibial Osteotomy (HTO):
- Realigns the tibia (shinbone) to shift weight away from an arthritic part of the knee joint.
- Common in young, active patients with early-stage osteoarthritis.
- Distal Femoral Osteotomy (DFO):
- Adjusts alignment in the femur to correct valgus (knock-knee) or varus (bow-leg) deformities.
- Typically done to improve knee mechanics.
- Pelvic Osteotomy:
- Used in hip dysplasia to reshape the pelvis for better joint coverage.
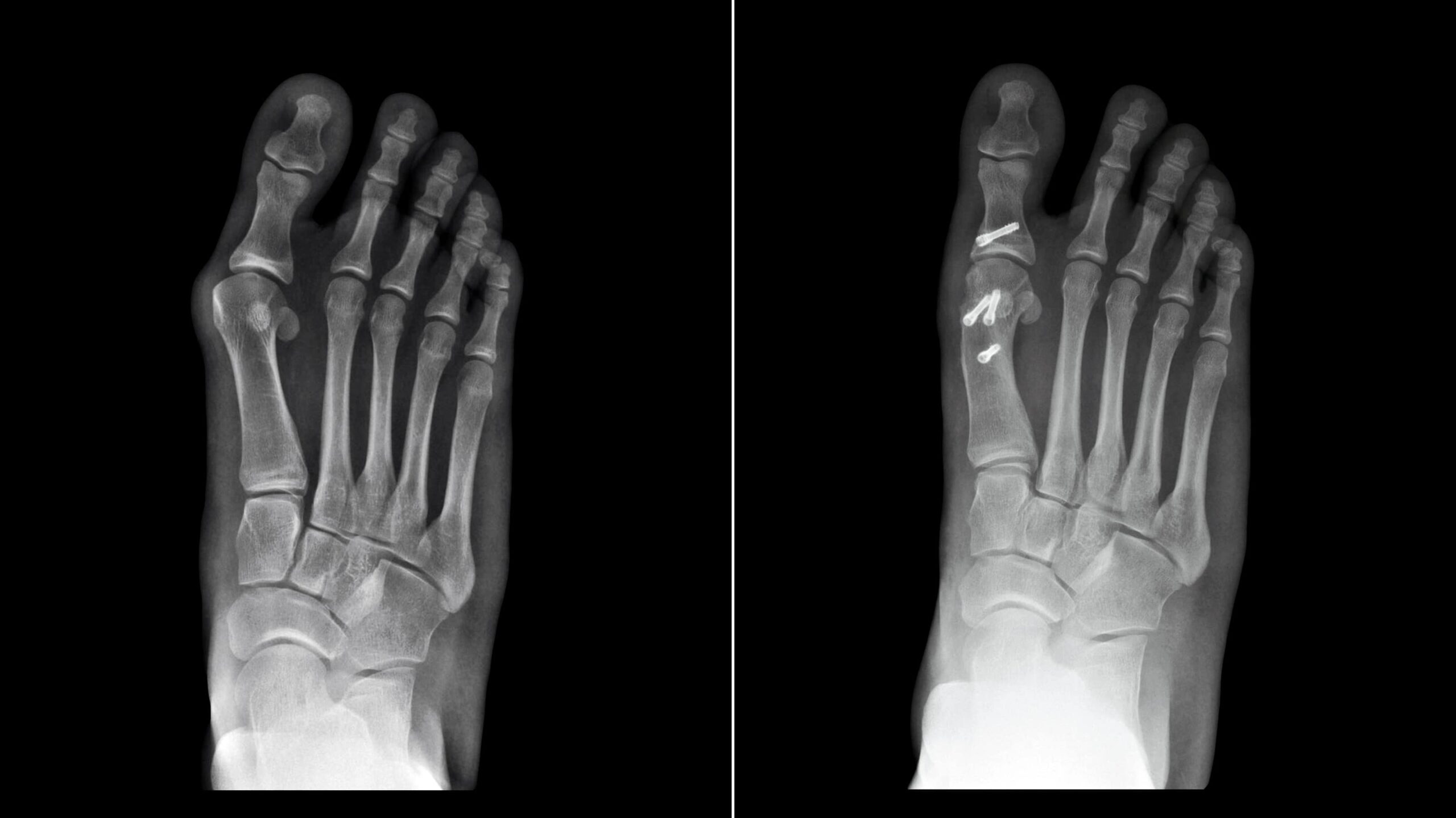
- Foot and Ankle Osteotomy:
- Corrects deformities like bunions, flat feet, or clubfoot.
- Upper Limb Osteotomies:
- Performed on the arm or wrist for deformities caused by fractures or congenital conditions.

Types of Corrective Osteotomies
- High Tibial Osteotomy (HTO):
- Realigns the tibia (shinbone) to shift weight away from an arthritic part of the knee joint.
- Common in young, active patients with early-stage osteoarthritis.
- Distal Femoral Osteotomy (DFO):
- Adjusts alignment in the femur to correct valgus (knock-knee) or varus (bow-leg) deformities.
- Typically done to improve knee mechanics.
- Pelvic Osteotomy:
- Used in hip dysplasia to reshape the pelvis for better joint coverage.
- Foot and Ankle Osteotomy:
- Corrects deformities like bunions, flat feet, or clubfoot.
- Upper Limb Osteotomies:
- Performed on the arm or wrist for deformities caused by fractures or congenital conditions.
Why is a Corrective Osteotomy Needed?
- Pain Relief: Realigning the bone helps distribute weight more evenly, reducing joint stress.
- Improved Function: Restoring proper alignment can enhance mobility and strength.
- Delay of Joint Replacement: Particularly in younger patients, an osteotomy can delay the need for joint replacement surgery.
Procedure Overview
- Preoperative Evaluation:
- X-rays, CT scans, or MRIs are used to assess the deformity.
- A detailed surgical plan is created, often using computer-aided technology.
- Surgical Steps:
- Under anesthesia, the surgeon makes an incision at the affected area.
- The bone is cut and repositioned using metal plates, screws, or rods for stabilization.
- Bone grafts may be used to fill gaps and aid in healing.
- Postoperative Care:
- Immobilization with a cast or brace may be necessary.
- Physiotherapy starts gradually to restore strength and range of motion.

Recovery and Rehabilitation
- Timeline: Recovery typically spans 3–6 months, depending on the complexity of the surgery.
- Weight-Bearing: Partial weight-bearing may begin within weeks, progressing to full weight-bearing as healing occurs.
- Rehabilitation: Physical therapy focuses on strengthening muscles, improving joint mobility, and preventing stiffness.
Risks and Complications
While corrective osteotomies are generally successful, they carry some risks, including:- Infection
- Blood clots
- Nonunion or delayed bone healing
- Persistent pain or stiffness
